医疗团队
就医指南
教学科研
新闻中心
院务信息
健康管理
党建工作
医疗服务集团
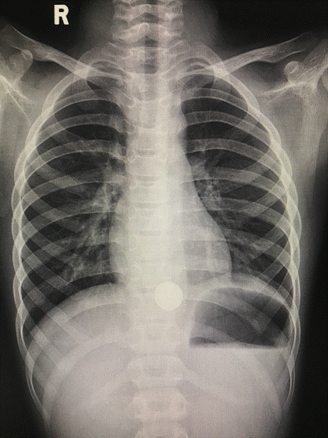
5月24日晚上儿童急诊接诊了一位胸痛的男孩,询问病史,一小时前在学校捡到一个异物,放到嘴巴里玩,一不小心就误吞了,具体什么性质、什么形状描述不清。在之后回家就出现胸痛,我立即予拍胸片检查,结果显示金属类纽扣样物。

这时我马上考虑到纽扣电池可能,紧急联系儿科胃镜专科吴主任医师。吴主任到场后评估患儿情况,予急诊胃镜取出。通过仔细辨认,这是一枚已经发黑的纽扣电池,在这个过程中发现食管壁接触面见腐蚀糜烂,再晚几个小时,后果不堪设想。


在这里我给大家科普一下误吞电池的风险
1、卡在气道中引发窒息
可能有明显的憋气,呼吸费力,脸部涨红甚至发绀,嘴唇发紫。这是最麻烦、最紧急的情况,需尽早取出异物。
2、消化道损伤,甚至穿孔
在胃液和肠液的作用下,化学物质漏出,对胃肠壁造成严重的损伤,从而导致消化道穿孔,甚至腐蚀大动脉引发大出血。
3、重金属中毒
误吞电池可能会引起重金属重度,如汞中毒、铅中毒等。
在生活中,由于幼儿好奇心强,特别是在口欲期,喜欢把很多东西放在嘴巴里尝尝,造成误吞异物的意外时有发生,而这些意外时常会带来严重后果。
这2天又接诊一位疑似误吞磁力珠的孩子,这个孩子在去年吞过14颗磁力珠,曾行手术切腹取出,腹部疤痕还清晰可见。
磁力珠的磁性非常强,两颗以上吞入消化道后,可能会吸附肠壁,时间久了出现缺血坏死,甚至穿孔,危及生命。

所以,为了防止意外,家里危险的小玩具,降压药、降糖药等药物,及其他消毒水等有毒有害物质,都应该放在儿童接触不到的地方。
关注孩子健康成长,远离误吞异物,让我们大家共同努力!

地址:瑞安市瑞枫大道168号
公交8、11、13、16、17、101、106路直达

地址:瑞安市万松路108号
公交1、2、6、9、12、15、3路夜间线、101(环线)路直达

