医疗团队
就医指南
教学科研
新闻中心
院务信息
健康管理
党建工作
医疗服务集团
潘阿姨,77岁,平时爱好舞蹈,但因右膝疼痛已经不得已割舍自己的爱好很长一段时间,感觉生活索然无味,到处寻求治疗。
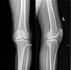
经朋友介绍,瑞安市人民医院关节外科对关节疾病的诊治在省内非常有名,10多年前就率先在浙南地区开展了单髁置换术,慕名来到瑞安市人民医院关节外科就诊。接诊的主管医生对潘阿姨进行了细致检查,发现潘阿姨的膝关节疼痛部位主要位于膝关节内侧,膝关节轻度内翻,步态轻度跛行。经X线片检查,膝关节内侧关节软骨磨损,软骨下骨骨质硬化,诊断为“右膝关节骨性关节炎”。

潘阿姨手术前X线片
团队为潘阿姨实施了右膝关节单髁置换术,手术时间50分钟不到,手术中无需输血。术后24小时内,潘阿姨就可以在助行器帮助下下地行走,术后没有疼痛。

(潘阿姨手术后X线片)
术后第五天,潘阿姨不需要助行器便可下地行走。
(潘阿姨手术后第五天步态)
术后2个月潘阿姨在家里可以跳舞,重新舞动人生。
谢老伯,72岁,因“左膝关节疼痛2年”来瑞安市人民医院关节外科就诊。同样施行了左膝单髁置换术。术后6周,谢老伯到门诊复查时就打趣道:“一点都不痛,活动自如,我都差点忘了这个膝盖做过手术。”

术前

术后
(谢老伯手术前后X线)
科普时间
膝关节骨性关节炎(knee osteoarthritis,KOA)是一种以膝关节软骨退行性病变和继发性骨质增生为特征的慢性关节疾病,随着时间推移逐渐出现膝关节疼痛、肿胀、僵硬、畸形等,严重者可完全无法行走。
目前对于膝骨关节炎的治疗主要采用阶梯治疗,对于早期患者一般采用基础治疗、药物治疗为主,对于中期患者可以采用关节清理、膝关节周围截骨等微创治疗;晚期患者可选择关节置换。其中大部分患者由于病变局限在膝关节内侧,不需要将整个关节换掉,这种情况单髁置换是一个非常好的选择。

什么是膝关节单髁置换术
膝关节单髁置换术(unicondylar knee arthroplasty,UKA)开始于20世纪70年代,是保膝手术治疗的一种,只对磨坏的一半关节表面进行置换。单髁置换手术类似于补车胎,就是将表面磨坏的骨头和软骨用人工表面关节进行修补,以达到精准治疗,微创治疗的目的。

单髁置换术有什么优势
手术只切除病变的关节面,保留大部分骨质。
保留前后交叉韧带,完好地保留外侧间室,最大限度地保留了患者的本体感觉和关节功能。
保留了自身的大部分膝关节结构,即使远期假体磨损需要翻修,也会相对容易。
切口小,手术创伤和并发症少,术后恢复快,住院时间短。

地址:瑞安市瑞枫大道168号
公交8、11、13、16、17、101、106路直达

地址:瑞安市万松路108号
公交1、2、6、9、12、15、3路夜间线、101(环线)路直达

