医疗团队
就医指南
教学科研
新闻中心
院务信息
健康管理
党建工作
医疗服务集团
最近市人民医院创伤骨科来了一位左肱骨干骨折的病人小潘,询问病史时,小潘和他的朋友相视苦笑,原来小潘与他的朋友约起来游戏——掰手腕,他们因为两人实力相当,力气、腕力也都不相上下,双方僵持不下,手臂一直持续发力,突然听见咔嚓一声,手臂当时就动不了而且疼痛剧烈,紧接着就来医院就诊了。

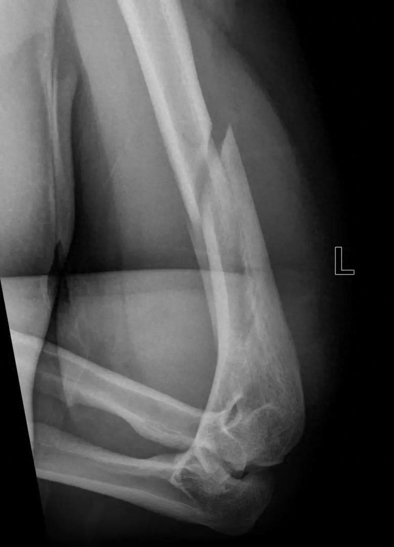
CR

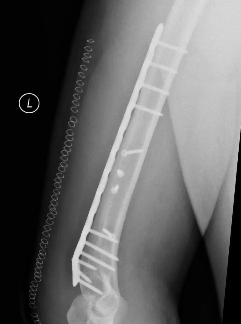
经过影像检查,小潘是左侧肱骨干骨折,主管医生说先左上臂夹板固定后再行手术。在完善术前检查后,小潘如期进行左肱骨骨折切开复位钢板螺钉内固定术,住院期间给予对症治疗后,现手术创口愈合良好,拆线后出院了。出院那天小潘说:“掰手腕这个事情,以后不约!”

其实上网一搜,类似的新闻案例并不少,今年年初新生代演员张新成在录制的是综艺节目《我们的客栈》,在“掰手腕”环节中导致手臂骨折,而且接受手术治疗。当时不少网友还调侃,玩掰手腕都能骨折,是张新成太脆弱还是张杰太强?可事实并非如此。。
NO.1 掰手腕是游戏吗?
想起小时候上学时,下课后有事没事就和同学来一场手腕,其他同学在旁边加油起哄,谁赢了谁就是大哥。现在对于我们小时候来说的小游戏,实际上,它一项专业运动,掰手腕官方称作:腕力,英文叫做arm-wrestling,意思为“手臂摔角” 。世界上有很多著名的专业腕力联盟和掰手腕大赛,从竞技项目的的角度来讲,掰手腕是一项非常严谨而复杂的运动,在比赛前,双方选手的大拇指要保持紧紧相扣;双方的肩膀不得左右倾斜高于45°;双方肘部不能离开垫板;身体不能接触手腕;手和肩膀的距离不能少于一个拳头;如果手的位置可能伤到手臂,裁判也会立即叫停……
NO.2 扳个手腕怎么会骨折?
掰手腕可以导致多种骨关节损伤,包括肱骨干骨折、肱骨内上髁撕脱骨折等,但其中最常见的还是肱骨干骨折。人的上臂就一根典型的长骨叫肱骨,在肱骨靠近肘关节上方3~4cm内,有一个圆柱形和不规则扁平骨的结合点,最为薄弱的,这个地方医学上叫肱骨髁。扳手腕的过程中,对手会通过比赛者的前臂施加给肱骨远端一个外旋应力,比赛者本人在对抗过程中通过自身的内旋肌群向肱骨近端施加强大的内旋应力,巨大的扭转应力在肱骨最薄弱处释放,造成肱骨干骨折。如果掰手腕的两个人实力差距很大,倒不容易掰断手,反而是当对抗双方势均力敌,僵持不下时,容易发生骨折。若发生骨折一定要及时就医,切不可自行处理,以避免进一步的神经损害。

NO.3 肱骨干骨折怎么治疗?
肱骨干骨折的治疗方法包括保守治疗、闭合复位髓内钉内固定术和切开复位钢板螺钉内固定术等多种方式。采用非手术治疗时,可对患肢进行悬垂石膏固定或行闭合复位后使用上臂U型石膏固定,2-3周后解放肘关节,使用功能支具固定10-12周。由于扳手腕导致的肱骨干骨折几乎均为肱骨远端三分之一螺旋形骨折,闭合复位髓内钉内固定术不适合这类骨折,切开复位钢板螺钉内固定术是这类骨折的最佳的手术治疗方式。肱骨干骨折的治疗方式需要考虑患者的骨折类型、损伤程度、功能需求等多种因素,因此,患者应咨询专业骨科医生后决定具体治疗方式。


对于专业的掰手腕运动员来说,尽管该运动风险较高,但避免该运动是不现实的,因此,规范正规的训练是至关重要的。但对于普通人来说,建议尽可能避免该运动。
如果仍想尝试,应做到以下4点:
1. 赛前应充分热身,记住一定不要猛发力,要循序渐进的发力。
2. 斜向发力,避免直接横向发力,减少肱骨所受的扭转应力。
3. 肘部紧贴身体,身体随手臂一同转动,不能改变姿势。
4. 经常性锻炼骨骼,尤其是手腕,肱骨,肘关节和肩关节。
注意:对于肌肉骨骼尚未发育完全的儿童或者青少年,老年人以及骨质疏松患者来说,最好不要做掰手腕等比较剧烈受力的游戏。如果你的手腕很细,大臂、小臂极长,那么也注定你并不适合腕力这项运动。
最后小编想说,大家若看到身边人在进行掰手腕时或者其他竞技性运动,都一定要保护好自己的身体,千万不要仗着自己年轻,一定要量力而行,不要为了逞一时之能,用力过猛导致骨折。当然你只是普通的健康体能,没经过专业腕力训练的,还是别盲目去掰手腕了吧!

地址:瑞安市瑞枫大道168号
公交8、11、13、16、17、101、106路直达

地址:瑞安市万松路108号
公交1、2、6、9、12、15、3路夜间线、101(环线)路直达

