员工版登录

温馨提醒:

本院职工若忘记自己的用户名和密码,请在手机钉钉上申请("审批--党政办--网站用户名申请")。

集团版登录

温馨提醒:

本院职工若忘记自己的用户名和密码,请在手机钉钉上申请("审批--党政办--网站用户名申请")。

  • 官方微信

  • 官方支付宝

科研动态
当前位置:首页 > 教学科研 > 科研动态
一场介入手术,不经意间创了我院三项纪录
作者:董领  来源:呼吸内科  发布时间:2019/9/17 8:32:53  字号:

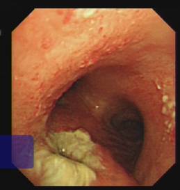
几年来,在我院领导的大力支持下,在麻醉科、设备科、肿瘤放化疗科等兄弟科室积极配合下,我院呼吸介入团队从无到有,快速形成战斗力,先后完成了各种难度较高的介入手术。近日,又成功在全麻下为一位复杂性气管食管瘘的患者置入支架。这位因患食管癌经放疗后的患者,每天不停的咳嗽、咳大量的脓臭痰,并有咯血,同时每晚必须坐着睡觉,不能平卧,给患者造成了极大的痛苦,已经在肿瘤放疗科住院了将近2个月仍然出不了院。问题到底出在哪里呢,经支气管镜检查后才确定元凶,患者总气管下段及主左支气管开口各有一个瘘口联通着气管和食管(图1、2),因此每天有大量的食物残渣返流到了气管支气管,才出现了上述的症状。针对这一棘手的复杂性气管食管瘘,既往只能“望瘘兴叹”,只能介绍到少数几个省级顶级医院去处理。而这一次我科上官宗校主任为主的介入团队详细研究了患者病情后,决定采用年初就审批过的新技术新项目,既全麻下硬质支气管镜插管术置入支架。手术非常成功,术后当晚患者就能平卧,脓臭痰明显减少,患者及家属非常感激。同时这场介入手术不经意间打破了我院三项记录。

第一次成功全麻下行硬质支气管镜插管术:硬质支气管镜示一项古老的技术,随着软体纤维支气管镜在临床上的推广,硬镜的应用明显减少。近年来,随着呼吸介入治疗的发展,硬镜是支架释放、取异物、消融、冷冻、电切等操作的必要通道,硬质支气管镜又重新成为一项新技术。硬镜必须在全麻下使用,离不开专业的麻醉师,我院之前尚未未开展过此项技术,这也标志着我院硬质支气管镜下介入治疗已经迈出了新的第一步。

 

第一次成功行复杂型气管食管瘘修补术:患者同时存在2个瘘口,分别位于总气管以及左主支气管,既往我院曾行气管支架植入术,但都是只封堵1个瘘口。本次手术,植入1个支架,同时封堵2个瘘口,也是我院第一次成功的复杂型食管气管瘘修补术。

 

第一次成功置入沙漏型(Y型)硅酮支架,既往我院气管支架植入术都是直筒型金属支架,而Y型硅酮支架存在放置困难,对位置要求高,必须在全麻下经硬镜放置。此次手术也填补了我院在Y型硅酮支架植入术上的空白。

 

(图1)总气管瘘口                              (图2)左主支气管瘘口

2个瘘口给患者带来了无尽的痛苦

 

(图3)呼吸介入团队、手术室、麻醉科齐心协力

 

(图42个瘘口已被硅酮支架完全覆盖

 


相关文章
联系方式
电话:(0577)58815881
传真:(0577)65866586
邮编:325200
瑞祥院区

地址:瑞安市瑞枫大道168号
公交8、11、13、16、17、101、106路直达

万松院区

地址:瑞安市万松路108号
公交1、2、6、9、12、15、3路夜间线、101(环线)路直达

版权所有:瑞安市人民医院 Copyright©2011-2025 浙ICP备07019604号

网站地图 辅助信息 版权声明 在线调查