医疗团队
就医指南
教学科研
新闻中心
院务信息
健康管理
党建工作
医疗服务集团
超高龄老人通常是指年龄在85岁以上的老人,在我的临床经历中经常会遇到高龄老人得了晚期肺癌被家属以年龄大为由而放弃治疗,着实可惜。其实除了极少数做儿女的思想比较偏激外,认为人老了总会死的,只不过是或早或迟的事情,更多的并不是不想让老人治疗,而是担心治疗所带来的副作用反而让老人更加痛苦,其实这倒可以理解,因为高龄老人体通常体弱多病,何况还得了肺癌。但是绝大多数临床医生都是根据高龄患者的综合体力去选择恰当的抗肿瘤治疗方案,毕竟意外的严重毒副作用还是是少数的,以下例举二例超高龄老人晚期重症肺癌成功治疗的经历。
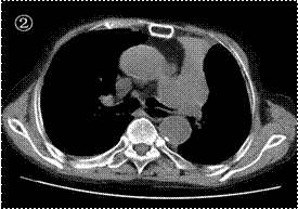
例1:患者男性,85岁,因“咳嗽、咯血、呼吸困难半月”于2021年4月23日入院。胸部CT提示左肺门巨大肿块同时导致左肺完全不张(图1、2)。入院后发现患者呼吸非常困难,在高流量吸氧情况下血氧饱和度都不能维持,并出现神志不清,为了暂时抢救患者生命,于2021年4月24日晚上行气管插管,用呼吸机辅助通气。查支气管镜检查证实了左主支气管下段巨大新事物形成,表面覆盖坏死物,完全堵塞管口。其实这一情况对于大多数患者家属来说都可能会放弃治疗而自动出院的,但是这位老人的子女非常孝顺,要求我们积极抢救以延续患者生命。对于如此严重的超高龄晚期重症肺癌患者,尽管救治工作非常非常困难,但是我们还是制定了详细的治疗方案。

第一步:确定是哪种类型的肺癌。尽管支气管镜下活检病理阴性,最后还是在插管下经皮左下肺穿刺,病理证实是肺腺鳞癌,同时肺癌病理组织送检了基因和肿瘤免疫检测,以期寻找到对该患者合适而恰当的抗肿瘤药物。
第二步:对左主支气管内肿瘤间断地给予局部消融及冷冻治疗,以期尽快使左肺不张得以复张(图3)。

第三步:也是最重要的一步,在没有取得肿瘤基因检测结果之前,要尽快尽早地给予抗肿瘤药物以抑制肿瘤细胞,否则即使插管也是前功尽弃。因此与家属积极沟通,在取得他们同意后率先用上了副作用非常小的安罗替尼联合白蛋白紫杉醇。
奇迹在插管后的1个月出现了(此时患者已经气管切开),在2021年5月24日复查胸部CT(图4、5),患者原来的左全肺不张得到了大部分肺复张,患者摆脱了呼吸机辅助通气,恢复了自我呼吸。奇迹的出现得益于对支气管内肿瘤的局部消融及冷冻等介入治疗同时加用了上述的抗肿瘤治疗措施。至2021年5月31日患者病情进一步好转,我们拔出了患者的金属气管套管,封闭气管切口,并于2021年6月1日成功出院。

很幸运的是之前送检的肿瘤组织PDL-1 表达达到了80%,提示目前最热门的肿瘤免疫药物可能对该患者有很好的疗效。因此后续给予患者的治疗方案是肿瘤免疫药物联合小化疗药物(卡瑞利珠+白蛋白紫杉醇)。果不其然,至2021年8月17日再次入院复查胸部CT及支气管镜,再次见证了奇迹的出现,支气管镜下见左主支气管肿块完全消失,CT提示左肺不张完全退缩(图6、7)。至此,患者从2个月前的卧床并需要气管插管呼吸机辅助通气的状态变成了如今可以闲庭信步(图8)。

2021年11月23日复查胸部CT时,又一次见证了奇迹的出现,CT提示左肺肿瘤基本消失(图9、10)。患者目前的治疗方案仅仅是用肿瘤免疫药物维持治疗,生活质量非常好。
例2:患者男性,88岁,是一位“慢阻肺”患者,近期因出现“咳嗽、呼吸困难加重伴咯血”于2021年5月14日入院。胸部CT提示左主支气管内及左肺门肿块、左上肺完全不张(图1、2)。对于这位超高龄慢阻肺患者本来就已经呼吸困难了,左肺长了一肿瘤同时伴气管内堵塞,无疑是雪上加霜,因此入院后呼吸困难进行性加重,如果不积极处理患者很快进入呼吸衰竭而损失生命,好在患者子女要求积极治疗。同样对于这例88岁的超高龄慢阻肺同时伴有肿瘤的患者,救治工作之困难可想而知,但是我们没有放弃,同样制定了周详细致的诊疗计划。

第一步:首先要打通左侧主支气管内被肿瘤堵塞的通道,因此于2021年5月19日我们给患者实施了气管插管,插管下见左主支气管腔内几乎被肿瘤堵塞,我们对腔内肿瘤进行了圈套切除,发现管腔仍然比较狭窄,又在管腔内放置了一枚覆膜支架(图3、4、5),这样可以有效地支撑狭窄的管腔,以保证患者顺利的通气,果不然术后患者呼吸困难得到了明显的缓解,因此我们又很快拔除了患者的气管插管。

第二步:针对肿瘤进行治疗。被切除的肿瘤组织病理证实是肺鳞状细胞癌。鉴于患者年龄大,不能耐受传统化疗,因此得到家属的同意后我们给予了比较新式的治疗方案免疫检查点抑制剂联合抗血管靶向药物(信迪利单抗+安罗替尼)。
第三步:经过2个月的治疗后患者左肺肿瘤明显缩小。左肺肿瘤缩小了,管腔通畅了,此时支架已经是多余的了,反而会导致患者不断咳嗽,因此我们又与2021年7月2日取出了支架,复查CT此时左主支气管腔已经非常通畅,左肺门肿瘤明显缩小、肺不张也明显好转(图6、7)。2021年11月19复查CT不但左侧支气管管腔通畅,肿瘤也缩小的非常明显(图8、9)。


这二例超高龄老人的无疑是非常幸运的,从治疗前的生命之旦夕不保到治疗后的闲庭信步,(图ⅰ、ⅱ),子女们说他们的父亲经历了从生到死又复生的真实经历,其实我们还有很多高龄肺癌患者成功治疗的临床案例。然而在现实生活中大多数高龄老人得了肺癌之后子女们对医生的第一个要求不是积极治疗,而是不要让老人知道他们自己的病情,因此到底治还是不治并不取决于老人自己,而取决于之女们的态度。
对于医生而言,针对高龄肺癌老人治疗的难度会大大增加,将会采取更加谨慎的态度,会结合老人的身体状况如心肺功能、肝肾功能、既往合并症等综合情况去量身制定,选择合适的治疗方案,当然也包括只给予最佳支持治疗而不给予任何抗肿瘤药物。
随着现代医学的快速发展,晚期肺癌已经步入了综合治疗的阶段,药物中除了毒性比较大的传统化疗药物外,还有毒副作用相对较小的靶向药物、免疫药物等。呼吸介入治疗对肿瘤所致大气道局部受累或堵塞的患者起到了即刻缓解症状而挽救生命的作用。
总之,高龄老人得了肺癌肯定是可以治疗的,但是治与不治或如何治疗取决于患者及其子女的经济情况、社会伦理道德、医患之间的充分沟通及相互讨论,共同制定恰当的治疗方案而不是过度的医疗。


地址:瑞安市瑞枫大道168号
公交8、11、13、16、17、101、106路直达

地址:瑞安市万松路108号
公交1、2、6、9、12、15、3路夜间线、101(环线)路直达

